让精准治疗更精准,附属龙华医院放疗科治疗新设备升级
发布时间:2022.08.27点击:222
近日,附属龙华医院放疗科治疗设备再次升级,此次升级的设备为图像引导的精准放疗图像引导系统。众所周知,放射治疗作为肿瘤治疗的主要手段,在肿瘤患者的治疗过程中,超过70%的患者需要接受放疗。放疗自成为肿瘤治疗手段已历经百年,现代放疗技术以精准精确对肿瘤实施打击,充分保护正常组织为目标,目前最先进的技术为图像引导放疗。

龙华医院放疗科自2018年就引进了图像引导放疗设备,该设备可以在治疗前后对患者的治疗体位进行图像复核,精准施治。本次升级后,通过交叉X线、红外监测、摄像监控及6D治疗床,使治疗误差缩小至亚毫米级,同时,在治疗期间可以实时观察患者的体位移动、呼吸动度对肿瘤造成的影响,追踪肿瘤,实施更精确的治疗。举例来说,患者在治疗过程中可能产生不自主活动,或者有些患者在治疗时咳嗽,此时定位系统可以及时发现肿瘤的移动,并判断移动情况是否在可接受范围内,如果可以接受则继续治疗,否则进行再复核并自动通过6D治疗床进行位置纠正。并且此项技术相较原来CBCT的图像引导技术,患者所受的辐射更低,整个治疗过程中,患者因图像引导技术所受的辐射量仅为原来的百分之一。

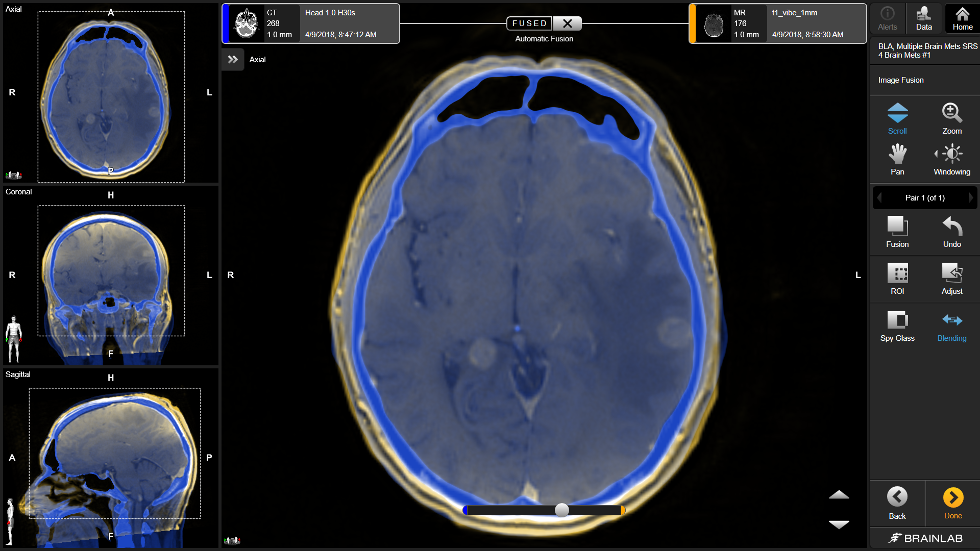
此次一并引进了全新的立体定向放射治疗计划系统,该系统对于脑瘤和多发脑转移瘤的治疗极具优势,仅需一次摆位,就可以实施颅内多个肿瘤同时治疗。系统可以将患者的CT、MR、PET等影像进行融合配准,自动识别脑干、眼球、视神经等重要器官,自动追踪神经传导束,在对肿瘤进行最大打击的同时,对重要组织器官进行很好地保护。


龙华医院肿瘤学科是国家重点学科,医院放疗科在晚期肿瘤、复杂疑难肿瘤的治疗方面有独具特色,是龙华医院国家医学中心建设的主攻方向之一。本次治疗设备的软硬件全面提升,使精确治疗更加精确,更值得一提的是,本次升级为无缝衔接,不论是即将接受治疗的患者还是已经在治疗过程中的患者,都能提升治疗的精确度,提升治疗获益。(龙华医院)

